Specialty Dentistry

Specialty Dentistry

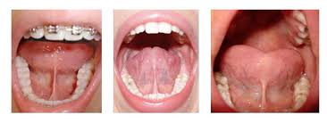
Tongue & Lip Tie Release: We perform tie release on new-born as young as 6 days, toddlers, children and adults. Ties are released due to symptoms and functions not for clinical appearance. Symptoms may include: breast feeding issues, poor craniofacial growth, speech, reduced range of motion of tongue, chewing issue, gagging, TM joint pain or sleep issues.

Photobiomodulation: aka, “light therapy or cold laser therapy”. We have the Cadillac of equipment, Novo Thor . It is a system using certain wavelengths to treat dental and medical conditions holistically (without the use of pharmaceuticals). It promotes cell regeneration, reduces inflammation and pain, and produces new stem cells (dentin, brain and heart) growth. The anecdotal side effects are reduced stress, reduced anxiety and reduced depression. All are a welcomed addition to any treatment. Our machines have been an asset to our office and we use it daily for acupuncture trigger points to reduce excessive gaging, involuntary head tremors, and pain. We also use it to anesthetise intra oral sites, a blessing when we perform tongue & lip tie release on infants under the age of two.

TM joint, Head and Neck Pain: Acute & Chronic craniofacial pain is not fun. Head, neck, shoulder and lower back pain are usually referred pain from the TM joint. We use a system to remodel the TM joint and by using the Motor Nerve Reflex Testing model we can pinpoint the primary source of your pain. We have had tremendous success with our patients and look forward to treating you soon.

Motor Nerve Reflex Testing: Is a system taught to us by Dr. Steve Olmos which will determine the primary cause of pain. We treat all dental primary and if a medical primary surface during treatment we refer you to a specialist for treatment.

Airway Breathing Disorder: Is a condition which restricts the amount of air entering the most posterior area of the mouth and the initial entrance to the throat. Our dental orthotic system will allow more efficient airflow to the lungs and our knowledgeable clinicians will teach "optimum oral function" techniques and nutritional Counselling.

Myofunctional Therapy: is a series of activities used in the treatment of oral and facial muscles as they relate to speech, dentition, chewing/bolus collection, swallowing, and over all mental & physical health. Our office uses this therapy in conjunction with our other treatment modalities to ..... Breathe – Swallow – Thrive.

Tooth Whitening: Professional tooth whitening (bleaching) is a dental treatment that can dramatically enhance the color of extrinsic strained teeth. Stains can occur due to foods we eat, beverages we drink, tobacco / cannabis we smoke. Intrinsic stain like tetracycline induced or grey tone teeth will not change color.

Get Directions to Dr. Lynn Lamont